티스토리 뷰
목차
말라리아는 모기에 의해 전파되는 감염병으로, 주로 플라스모디움(Plasmodium) 기생충에 의해 발생합니다.
이 병은 주로 열대 및 아열대 지역에서 유행하지만, 대한민국에서도 드물지 않게 발생하고 있습니다.
2024년 올해 발생률이 빠르게 올라가고 있는 말라리아에 대해서 아래에서 살펴보도록 하겠습니다.
말라리아의 현황
발생률
2024년 기준, 대한민국에서의 말라리아 발생은 전년 대비 증가세를 보이고 있습니다.
주요 발생 지역은 경기도와 강원도 북부 지역으로, 이곳은 남북한 경계와 가까운 곳입니다.
이러한 지역적 특성은 말라리아를 전파하는 얼룩날개모기(Anopheles) 서식지와 밀접한 관련이 있습니다.
올해는 벌써 작년 절반 수준에 도달하여 연말쯤엔 작년을 넘어설 것으로 예상되고 있으며, 이러한 증가 추세는 주로 여름철 기온 상승과 관련이 있습니다.
발생 종류 및 증상
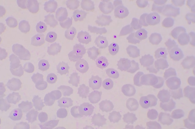
우리나라에서 발생하는 말라리아는 대부분 '삼일열 말라리아(Plasmodium vivax)'로, 다른 형태에 비해 치명적이지 않지만 재발 가능성이 있습니다.
삼일열 말라리아는 일반적으로 48시간 간격으로 발열 증상을 나타냅니다. 열이 나면서 두통, 구역을 동반하며, 땀을 많이 흘린 후 열이 내려가고 하루 동안 열이 없다가 다시 발열 후 해열을 반복하는 하루거리 발열의 증상이 나타납니다. 치료하지 않으면 증상은 1주 ~1개월간 또는 그 이상에 걸쳐 지속됩니다.
만약 위와 같은 증상 또는 오래가는 발열 감기로 말라리아가 의심된다면, 아래 버튼으로 근처 보건소를 확인, 방문하셔서 무료검사 받으세요.
위험 요인
우리나라의 말라리아는 주로 군인, 공무원, 농업 종사자, 그리고 여행자에게 발생하는 경향이 있습니다.
특히 남북한 경계 지역의 파견 근무자와 같이 모기 노출 위험이 높은 직군, 야간 활동이 많거나 말라리아 위험 지역을 여행하는 사람들도 주의가 필요합니다.
하지만 최근에는 북쪽 경기도와 강원, 인천 외 서울에도 확산되는 추세이므로 평상시 개인적으로 감염되지 않게 주의할 필요가 있습니다.
말라리아 예방 및 관리
예방 방법



1. 모기 퇴치
말라리아 예방의 첫걸음은 모기 퇴치입니다.
모기는 주로 해질녘과 새벽에 활동하기 때문에 이 시간대에 야외 활동을 피하거나 긴 옷을 착용하는 것이 좋습니다.
또한, 모기장, 모기 기피제를 사용하는 것도 효과적입니다.
모기 퇴치제를 사용하는 것도 권장됩니다.
2. 환경 관리
모기의 서식지를 줄이기 위해 정기적인 환경 관리는 필수적입니다. 고여 있는 물은 모기의 번식지를 제공하기 때문에, 정기적으로 제거하거나 관리해야 합니다. 특히, 말라리아 위험 지역에서는 더 철저한 환경 관리를 통해 모기 개체 수를 줄이는 것이 중요합니다.
3. 백신과 예방약
현재 삼일열 말라리아에 대한 백신은 개발되지 않았지만, 예방약이 존재합니다.
특히 위험 지역을 여행하거나 해당 지역에 거주하는 경우, 사전에 예방약을 복용하는 것이 권장됩니다.
예방약은 감염을 완전히 막지는 못하지만, 증상의 심각성을 줄일 수 있습니다.
감염 후 치료 및 대처



말라리아에 감염된 경우, 빠른 치료가 필요합니다. 삼일열 말라리아는 치료가 가능하지만, 재발 가능성이 있어 철저한 관찰이 필요합니다.
감염 초기에는 고열, 두통, 근육통, 구토 등의 증상이 나타날 수 있으며, 이러한 증상이 나타날 경우 즉시 의료기관을 방문하는 것이 중요합니다.
말라이아의 치료는 기생충의 종류와 감염 정도에 따라 달라지며, 주로 항말라리아제 중 클로로퀸을 사용합니다.
그러나 클로로퀸에 내성이 있는 경우가 증가하고 있어 주의가 필요합니다.
말라리아는 치료 후에도 정기적인 추적 검사를 통해 재발 여부를 확인해야 합니다.
결론



우리나라에서 말라리아는 여전히 중요한 보건 문제입니다. 특히 경계 지역에서의 발생이 집중되고 있으며, 기후 변화와 더불어 발생률이 증가하는 추세를 보이고 있습니다.
따라서 모기 퇴치와 예방 약물 복용, 그리고 환경 관리를 통해 말라리아 예방에 적극적으로 나서야 합니다.
또한, 말라리아 감염 시 신속한 치료와 추적 검사가 필요합니다. 말라리아에 대한 정확한 정보와 예방 방법을 알고 실천하는 것이 건강을 지키는 첫걸음입니다.







